По мере того, как ветеринария становится все более продвинутой, и все больше семей обращаются за помощью к больным домашним животным, даже общие генетические нарушения, такие как дисплазия тазобедренного сустава у собак, легче диагностировать и лечить. Для многих владельцев собак понимание того, что это за болезненное состояние и какие методы лечения доступны, может помочь сделать жизнь их питомцев более легкой и полноценной.
Что такое дисплазия тазобедренного сустава у собак?
Дисплазия тазобедренного сустава у собак — это генетически унаследованное заболевание опорно-двигательного аппарата. У здоровых собак тазобедренный сустав плотно и плавно прилегает друг к другу. Однако у собак с дисплазией тазобедренного сустава головка бедра свободно входит в таз, вызывая чрезмерное трение. В конце концов, хрящ, смягчающий сустав, изнашивается из-за этого смещения, и собака испытывает боль и связанную с ней хромоту. В тяжелых случаях дисплазия тазобедренного сустава может привести к полной потере подвижности задних конечностей.
Современная ветеринарная теория считает, что прямая наследственность составляет только двадцать пять процентов предрасположенности собаки к дисплазии тазобедренного сустава. Другими способствующими факторами являются диета, вес и уровень активности животного. Дисплазия тазобедренного сустава у собак особенно распространена среди крупных, быстрорастущих пород собак , в том числе:
- Немецкие овчарки
- Ротвейлеры
- Золотистый ретривер
- Лабрадор ретривер
- Ньюфаундленды
- Сенбернары
- Доги
- Ирландские сеттеры
- Мастифы
- Староанглийские овчарки
- Самоеды
- Веймаранеры
В то время как более крупные породы собак имеют больший риск развития дисплазии тазобедренного сустава, даже маленькие породы собак могут заболеть этим заболеванием, особенно если они имеют избыточный вес или ведут чрезвычайно активный образ жизни.
Диагностика
Первые симптомы дисплазии тазобедренного сустава у собак появляются во время быстрого роста щенка, обычно в возрасте от четырех до девяти месяцев. Хотя начальных клинических симптомов может и не быть, собака в конечном итоге начнет хромать , станет плетением, колеблющейся походкой или может испытывать трудности с бегом, прыжками или вставанием из сидячей или сидячей позы.
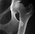
Ветеринар диагностирует дисплазию тазобедренного сустава с помощью внешнего осмотра (ощущение слабости в бедрах), а также рентгеновских снимков или рентгенограмм, чтобы определить степень дегенерации сустава. Легкая дисплазия тазобедренного сустава похожа на остеоартрит у людей, и собаки могут легко научиться жить с этим заболеванием и жить полной и счастливой жизнью.
Уход
Лечение дисплазии тазобедренного сустава у собак включает в себя лечение этого состояния и помощь собаке в адаптации к более ограниченной подвижности. Следует тщательно контролировать вес собаки: даже несколько лишних килограммов могут добавить дополнительную нагрузку на изношенные суставы, вызывая еще большую боль и воспаление. Хотя все собаки нуждаются в упражнениях, следует избегать напряженных игр, таких как погоня за мячом, прыжки и трюки, стоя на задних лапах, чтобы уменьшить нагрузку на суставы. Чтобы облегчить боль, многие ветеринары назначают легкие противовоспалительные препараты. Холод может усугубить состояние, поэтому заболевших собак следует держать в тепле, особенно в спальных местах.
Если состояние тяжелое, существует несколько вариантов хирургического вмешательства. Для небольших пород собак удаление головки бедренной кости (верхней части бедра, которая входит в тазовый сустав) является вариантом, и собака в конечном итоге создаст ложный сустав из рубцовой ткани в качестве замены. Однако это не вариант для собак более тяжелых пород, и в крайних случаях возможна операция по замене тазобедренного сустава.
Лечение дисплазии тазобедренного сустава у собак
Поскольку это в первую очередь генетическое заболевание, дисплазия тазобедренного сустава у собак не поддается лечению. Однако селективное разведение с животными, прошедшими предварительный скрининг, может помочь устранить болезнь. Прежде чем выбрать собаку для разведения, ее бедра следует обследовать с помощью рентгена на предмет предрасположенности к дисплазии тазобедренного сустава. Если вы выбираете щенка, спросите о его семейном анамнезе, чтобы убедиться, что у него нет повышенного риска заболевания, и избегайте выбора щенка крупной породы, если заводчик не может ответить на основные вопросы семейного анамнеза.
Резюме дисплазии тазобедренного сустава
Дисплазия тазобедренного сустава у собак — это генетическое нарушение тазобедренных суставов, которое чаще всего встречается у более крупных собак. Хотя состояние может быть болезненным, с ним можно справиться с помощью тщательного контроля веса, умеренных физических упражнений, ограниченного количества обезболивающих и хирургического вмешательства, если это необходимо, позволяя больным животным жить полноценной и счастливой жизнью. Хотя от этой болезни нет лекарства, тщательное разведение может предотвратить ее передачу будущим поколениям.

